|
杭州萧山盈丰新华医院1.5T磁共振简介一我院引进的磁共振成像系统是目前全区民营医院唯一一台纯日本进口1.5T磁共振;功能十分强大,可开展全身多系统、多器官的常规检查及功能成像。特别是对头颅、脊柱、骨关节系统及腹部、盆腔实性器官有独特的诊断价值;萧山医院、人民医院长期对我院指导合作,由大医院专家长期提供技术支持。 01 右肩关节肌腱断裂。
02 颈椎间盘突出。
03 右膝关节半月板撕裂。
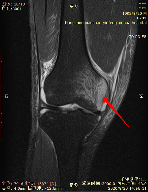
04 右膝关节骨挫伤。
05 磁共振新技术的应用 前列腺弥散加权成像(DWI)对前列腺癌定性诊断有重要意义;可以作为PSA值异常后的常规筛查。
06 MR内耳水成像 可直观显示内耳畸形和迷路形态的改变。
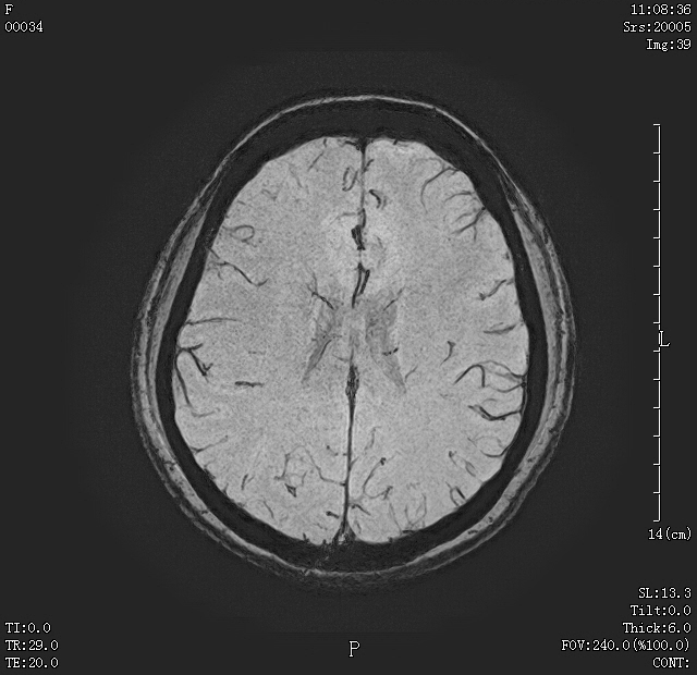
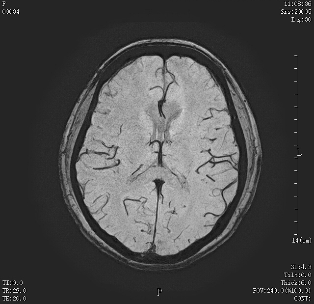
07 颅脑磁敏感加权成像(SWI) 可发现颅内微小出血灶;静脉畸形等;可发现高血压及外伤后患者的微小出血灶。
08 头颅磁共振静脉血管成像(MRV) 可用于疑有静脉窦血栓患者
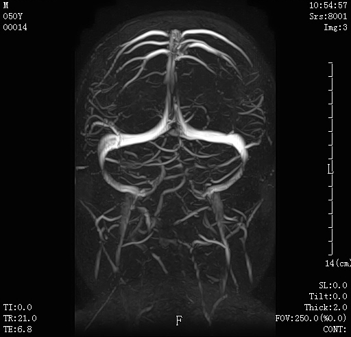
09 颈部血管成像,清晰显示颈部血管。
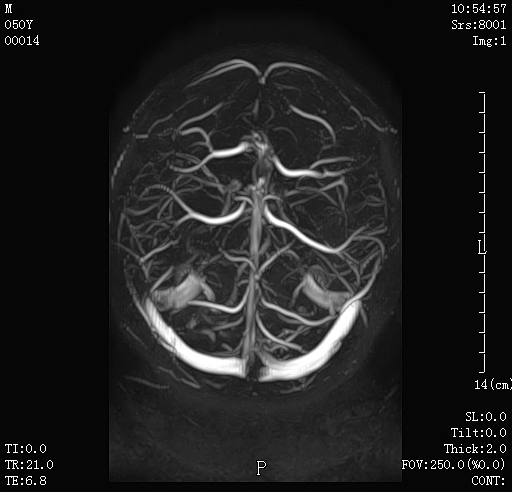
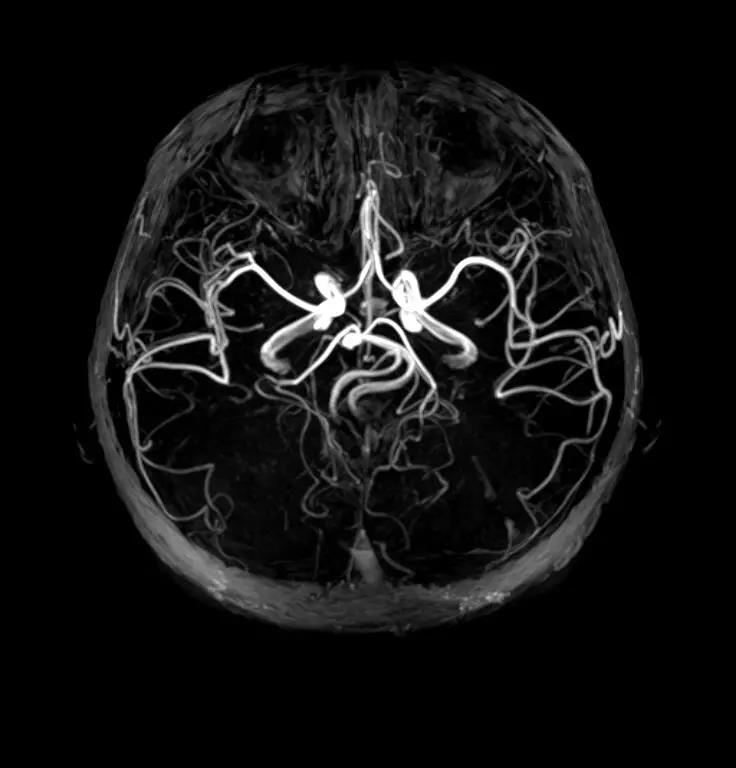
10 脑血管清晰显示
|
















